Tag Archive: hemothorax
December 13, 2024
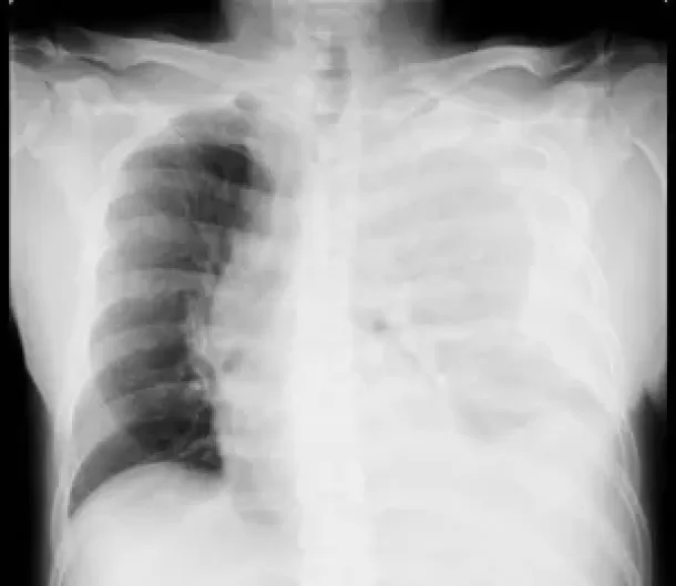
Small-Bore vs. Large-Bore Chest Tubes: Does Size Really Matter for Hemothorax and Pleural Effusions?
For decades, the belief that “bigger is better” has driven the choice of chest tube size for managing hemothorax and pleural effusions. Yet a growing…